JiveX Review

Image Report

JiveX

Study

Patient: Padmakumar A. , *1988-04-24, PID: 3000069741773230809
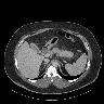
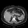
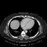
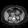
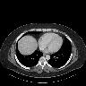
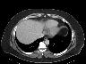
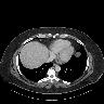
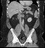
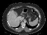
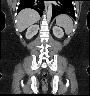
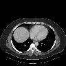
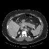
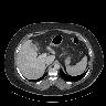
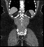
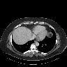
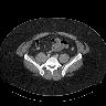
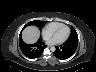
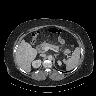
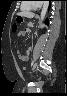
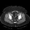
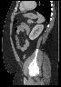
Study Description: CT ABDOMEN
Study Date: 2026-03-06
Refering Physician: TOBON MORALES^R.E.
   
Report:
Not available



>>Back to report index

Important Note: Any image data is available both as JPEG and DICOM format. To get to the JPEG images, please follow the related links (study / series) and directly click on the small preview images in the overview panel. Please remind that the JPEG images were compressed using lossy compression algorithms and thus are not approved for diagnosis or post processing of any other kind. For viewing the original DICOM images from the overview panel click on the images number accoringly. DICOM is short for "Digital Imaging and Communication in Medicine" and is an image format specific to medical imaging. Viewing DICOM images usually is not possible through "standard" image viewing software and requires a DICOM enabled viewing program installed on your computer. You can download the JiveX DICOM Viewer (Personal Edition) from the VISUS Health IT GmbH website. By the help of this program you can load, view and print DICOM images. Please read installation instructions and license agreements carefully.


JiveX

JiveX Image Report. This report was generated with JiveX Review. © Copyright VISUS Health IT GmbH, Germany. JiveX ® is an internationally registered trademark of VISUS Health IT GmbH. VISUS Health IT GmbH assumes no liability whether for the content of this report nor for any incidential or consequential damages of the usage of this report! --- www.visus.com