JiveX Review

Image Report

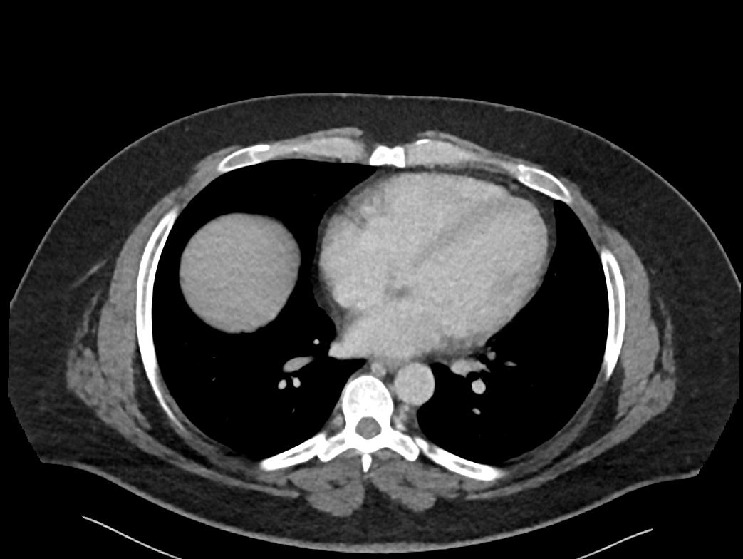
JiveX

Single Image Layout

Patient: Padmakumar A. , *1988-04-24, PID: 3000069741773230809
Study Description: CT ABDOMEN
Image Series: Abdomen Ax 3mm [4]


<< Previous | Image 8 of 168 | Next >>
no_key
no_key
Image

JiveX

JiveX Image Report. This report was generated with JiveX Review. © Copyright VISUS Health IT GmbH, Germany. JiveX ® is an internationally registered trademark of VISUS Health IT GmbH. VISUS Health IT GmbH assumes no liability whether for the content of this report nor for any incidential or consequential damages of the usage of this report! --- www.visus.com